21-летний парень решился на операцию по удалению лишних пальцев на ноге. До этого всю жизнь он жил с девятью пальцами.

Молодой человек по имени Аджун (Ajun), провёл своё детство, избегая какого-либо социального взаимодействия, так как испытывал сильное стеснение из-за своей проблемы, по этой же причине он даже не мог пригласить девушку на свидание.

Сообщается, что 21-летний парень чувствовал себя бесполезным и «несовершенным».
Теперь же, после операции по удалению 4-х лишних пальцев на его конечности, которые обременяли его в течение двух десятилетий, врачи подарили ему новую жизнь.
«У меня никогда не было девушки, потому что я так несовершенен. Я никогда не думал, что смогу найти кого-то, кто бы захотел со мной быть», — поведал он.

Суеверные родители Аджуна не хотели, чтобы ему удалили пальцы, потому что когда-то гадалка им сказала о том, что эти его лишние пальцы являются хорошим предзнаменованием.
Парню пришлось много и долго страдать, поскольку его глубоко верующие родители считали, что это был «подарок небес».

«Они были суеверны, поэтому не хотели иметь с этим дело. Они считали, что если это действительно выглядит слишком плохо, тогда я могу просто взять и прикрыть это своей обувью», — говорит он.
Правда повзрослев, Аджун, проживающий в городе Люфэн, Китай, решил, что самое время обратиться за медицинской помощью и избавиться от уродства.
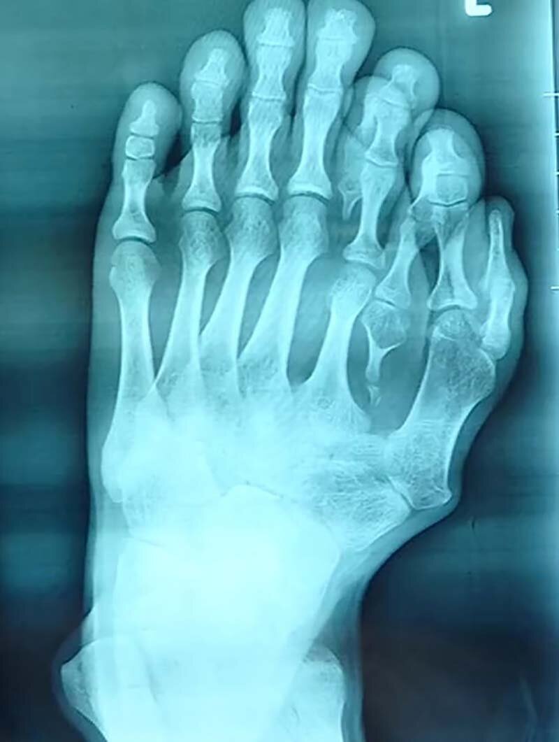
Сделанные предоперационные фотографии и рентгенограмма показали врачам степень тяжести деформации

Пальцы поменьше выросли между пальцами его нормального размера. При этом у парня не хватало большого пальца, вместо него у него сформировались два маленьких пальца, образовавших букву «V».
«Очень редко можно повстречать столь ??серьёзную деформацию у 21-летнего пациента, которую не лечили», — сказал доктор Ву Сян (Wu Xiang) из больницы города Фошань.

Его команда провела 9 часов, работая с Аджуном, воссоздавая для него новый большой палец и избавляя парня от лишних.
«Другие больницы просто бы удалили лишние пальцы ног, — заметил доктор Ву. — Это было бы самым простым решением, но не лучшим.»
«Его настоящий палец на ноге — снаружи, поэтому мы решили переместить его внутрь в самое идеальное положение, заменив его пятый палец и создав новый большой палец.»

Аджун, который на данный момент идёт на поправку и будет выписан в ближайшие недели, сказал:
«Теперь я чувствую себя прекрасно. Я очень благодарен доктору Ву Сяну.
«Я думаю, что моя нога прекрасна. Он показал мне фотографии моей стопы после операции, и я очень счастлив.»
«Детей, рождённых с уродствами, лучше всего обследовать через три месяца после рождения, — добавил доктор. — Операцию можно проводить уже в возрасте одного года, но не позднее шести лет. В принципе, нормально в любое время, до того, как они начнут ходить в школу.»
«Так лучше для психологического благополучия ребенка, кроме того, более ранние операции также приводят к лучшим результатам восстановления.»

Полидактилия — это научное название, обозначающее дополнительные пальцы на руках и ногах.
Подобное встречается у 700-1000 детей во всем мире и происходит в течение шестой или седьмой недели беременности, когда у плода формируются пальцы на руках и ногах.
Полидактилия возникает, когда «лопасть» раскалывается слишком много раз. Дополнительный палец может быть как отростком, состоящим из кожи, так и полноценным рабочим пальцем на руке или ноге.

Редактор сайта
Люблю хороший юмор, демотиваторы и смешные приколы, фотографии красивых девушек и привлекательных женщин















